$400
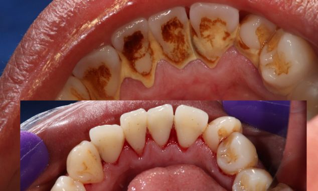
LIMPIEZA DENTAL
Limpieza con ultrasonido, pulido en los dientes y aplicación de fluor
Antes
Después
Pasos para la realización de la limpieza
- En primera instancia, se realiza una valoración en la encía de cada uno de los dientes, para ver si ocupas una limpieza o bien una más profunda (curetaje).
- Se empieza a limpiar los dientes, quitando el sarro con un aparato llamado ultrasonido que avienta un chorro de agua para reblandecer las calcificaciones y la placa bacteriana y mediante su punta activa termina de removerlo mediante pequeñas vibraciones.
- Una vez teniendo los dientes libres de sarro, se pulen mediante pasta profiláctica, obteniendo así una superficie dental, uniforme y brillosa.
- Al último se aplica flúor tópico, para remineralizar los dientes, haciéndolos más resistentes a la caries. Se recomienda una en enjuagarse, ni comer alimentos ni bebidas por 30 minutos, para dejar que el flúor trabaje.
¿Mantenimiento en la boca?
Como en todas las partes de nuestro cuerpo al igual que en la boca, se ocupa de revisiones y «mantenimiento».
En nuestra boca es de suma importancia visitar al dentista cada 6 meses para su realización de limpieza dental, para evitar un exceso de sarro dental, provocando inflamación de las encías, sangrado, hasta poder llegar al hueso alveolar en donde los dientes están fijados, que si este sarro no se elimina, las bacterias empiezan atacar al hueso y pronto se perderán los dientes
¿Qué pasa si no me realizo la limpieza dental?
Constantemente nuestra boca produce saliva y una capa pegajosa llamada biófilo, donde esta se encuentra numerosas bacterias y es esta misma que se calcifica y se convierte en sarro dental, un cálculo o «piedra» que se pega adhiere al diente y es muy difícil que se remueva con el cepillado.
Las bacterias del sarro metabolizan los carbohidratos de nuestros alimentos y liberan sustancias tóxicas y ácidas
Estas sustancias afectan a las encías, dejándolas inflamadas y sangrantes y el hueso donde se encuentran insertados los dientes, empieza a ser destruido, afectando los tejidos del soporte del diente (hueso alveolar y ligamento periodontal), que con el tiempo los dientes empiezan a tambalear y se caen.

Si tienes movilidad dental, pus, se empezaron a mover tus dientes, retraer la encía o bien tienes años sin realizarte una limpieza dental.
Posiblemente tienes periodontitis y ocupas un curetaje, es decir una limpieza profunda para remover todo el sarro de los dientes y sus raíces.
Pero ojo, casi siempre es asintomático, por esa razón es la recomendación de visitar al dentista mínimo dos veces por año

¿Qué es un curetaje?
Un curetaje o comúnmente llamado limpieza profunda, se realiza cuando el sarro ha entrado por debajo de la encía por lo cual es imposible, retirarlo con una limpieza rutinaria.
El curetaje es realizado bajo anestesia local y mediante unos instrumentos llamados curetas, introducimos al fondo de la encía para poder retirar de forma mecánica todo el sarro y bacterias, alisando así las raíces de los dientes para crear un nuevo epitelio y futura cicatrización con los días.
Para poder realizar el curetaje, se debe realizar una limpieza hasta la línea de la encía, reforzar la técnica de cepillado y uso correcto del hilo dental para poder obtener buenos resultados con el tratamiento, ya que por lo contrario va fracasar y las bacterias se vuelven a proliferar si no se mejora la técnica de cepillado.
$600
por cuadrante
Curetaje y alisado radicular
La boca la dividimos en 4 cuadrantes, pero en algunos casos no todos los dientes ocupan curetaje, así que agenda ahora mismo una cita para valoración





