Nuestra boca es nuestra carta de presentación
Si bien es sabido que la apariencia habla mucho de la persona, en la boca también lo es. Ya que en la ausencia de uno de nuestros dientes de al frente no queremos ni sonreír y si son muelas no podemos comer a gusto y con el tiempo por falta de esa muela, todos nuestros dientes se empiezan a desacomodar, por consiguiente, tendremos una mala armonización dental.
Pero no te preocupes existen diferentes tratamientos que te ayudaran a obtener un nuevo diente artificial con apariencia natural.
Te explicaremos los pros y contras de cada tratamiento.
Implante dental de tornillo
La primera opción y la más adecuada es un implante que se coloca por dentro del hueso, el cuerpo lo acepta y sobre ella se coloca la corona dental. Todo esto sin tallar los dientes contiguos.
Se escucha muy padre verdad?. Y lo es, ya que es lo recomendado cuando tenemos ausencia de dientes, pero es un tratamiento no muy accesible para muchas personas por el costo y también a largo plazo ya que una vez colocado el implante se debe esperar aproximadamente de 3 a 4 meses para su cicatrización y después colocar el implante.
¿Qué es un puente?
Un puente dental es una prótesis fija en la cual nos ayuda a sustituir los dientes perdidos, agarrándonos de los dientes vecinos, siempre y cuando estos estén sanos y fuertes para poder soportar las cargas al masticar.
-Ventajas:
- Mayor comodidad por ser fijo
- Buena estética
- Buena durabilidad
-Desventaja:
- Tener que desgastar los dientes vecinos en donde se va agarrar el puente
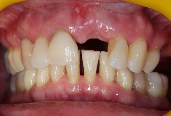
Antes
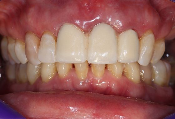
Después
¿Qué es una placa o prótesis removible?
Es otro tipo de prótesis pero removible, en la cual se tendrá que quitar y poner para su lavado.
Esta te sustituye los dientes ausentes y otros tejidos atrofiados como la encía y hueso que se pierde por el tiempo.
Ventajas:
- Económicos: va depender del material que se escoja, los más económicos son los de acrílico.
- No desgastar dientes: ya que estos se agarran con gachos en los dientes o en su defecto en la mucosa y encía, cuando no se tiene ningún diente.
- Estéticos: ya que los materiales mimetizan a los dientes naturales
Desventaja:
- Tener que quitarse la prótesis en las noches antes de dormir y al momento de ser lavada.
Tipos de prótesis
Prótesis de acrílico
Son prótesis de acrílico rígido con ganchos metálicos agarrados en dientes adyacentes.
Se caracteriza por ser un tratamiento económico
Prótesis flexibles
Prótesis extremadamente cómodas con gachos estéticos del color de la encía, hechos con material resina- poliamida o comúnmente conocido como nylon.
Una opción más cómoda y estética que te encantara
Prótesis de esqueleto metálico
Son las prótesis ideales que todo paciente debe tener, se trata de dientes de acrílico montados en una base metálica con ganchos diseñados para cada tipo de caso, teniendo esto una mejor estabilidad y distribución de las fuerzas al masticar







